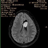
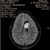
In 2016, I was in a terrible accident after the purchase of my new vehicle. It was at this particular time that I found out I had a brain tumor (Neurocytoma). I underwent surgery to remove it and was completely fine afterwards. I visited my neurosurgeon after my surgery, and things remained well. 2023 came, and my headaches began to recur severely. I made an emergency room visit where I was kept for immediate surgery to remove the Massive tumor pictured below.

Here we are in 2025, my tumor has returned, and I have to undergo another surgery for the (THIRD) time.
This has been very unexpected for me, and I’m asking for your help during this difficult time. I am a hard worker, working as a full-time entrepreneur, cleaning carpets & upholstery as well as running my travel business. I aspire to be a Forensic Psychologist, holding a degree in Forensic Psychology from Southern New Hampshire University. I plan to re-enroll in my master's program after my recovery.
I will be out of work for quite a while, Your donation is greatly appreciated. Thank you in advance for your support. My surgery date is July 2, 2025









